Dental Facts
Implant
It is the replacement of the entire tooth. There is an artificial root as well as the crown itself. Depending on the patients health and placement of the implant, they have a success rate of 94-98%. With good home care, it should last a lifetime.
Childrens Teeth
Children's teeth do not do as well with fillings as adult teeth do. 1/3 to 1/2 of fillings needed replacement after 3 years and that almost 89% of all crowns survived 8 years.
Stop Smoking
There are about 4.5 million children and adolescents in the United States who smoke. It is estimated that every day about 6,000 children across the country try their first cigarette. There are over 30 cancer-causing agents in cigarettes.
Pierced Tongue
Small tiny microfractures may occur first, causing the teeth to be sensitive.Some people may develop the habit of repeatedly tapping their knobs, rings or post against their teeth. Also, the mouth jewelry can rub against your gums.
Cold Sores
It is estimated that about 80% of the population is affected by cold sores. Cold sores are very contagiuos and may last 1-2 weeks. They are caused by the herpes simplex virus. An antiviral ointment or pill can shorten the course.
Snoring
Males are more likely to snore than females (42% vs 31%). The most common age range is 55-64 yrs old, according to a poll by the National Sleep Foundation. Snore is caused when your soft palate and/or uvula produce a vibration.
Toothbrush???
Don't use a medium or hard toothbrush as these can cause damage to your gums. It is best to change your toothbrush every 2-3 months, or even more often if you notice the bristles are bent.
Did you know?
Gum disease has been linked to several medical conditions such as stroke, diabetes, heart attacks and lung disease.
Maxillary Sinus Infection
It can feel like a toothache is because the roots of your upper back teeth can project into the sinus. If the sinus is filled with fluid, it can apply pressure and aggravate the nerves of the maxillary teeth.
Fluoride
Brushing with fluoride toothpaste and drinking fluoridated water helps to protect teeth against decay. Fluoride is important for strong teeth and is considered safe when consumed at recommended levels in drinking water.
This is a Fact!
Dental sealants act as a barrier, protecting the teeth against decay - caused by bacteria. The sealants are usually applied to the chewing surfaces of the premolars and molars where as much as 75% of all cavities develop.
Root Canal
Root canal procedures are performed when the nerve of the tooth becomes infected or the pulp becomes damaged. During a root canal procedure, the nerve and pulp is removed and the inside of the tooth is cleaned and sealed.
Dry Mouth
Prescriptions for high blood pressure, anxiety, muscle tension, urinary incontinence, and allergies can all help lead to a dry mouth. Other causes can be nerve damage in the head or neck area, chemotherapy or radiation treatment.
Inlays and Onlays
They are made outside the mouth (indirect restorations), the same way a crown is. They are cemented or bonded to the tooth and can actually help strengthen it.
X-rays
Dental x-rays can reveal dental cavities (tooth decay) before they are visible even to the dentist. The dentist often will take yearly bitewings to catch the early development of cavities.
Do you know?
Composites can be very thin whereas if an amalgam filling is too thin it may crack. Since composites are bonded they can actually help support and strengthen tooth structure.
Mouthguard
Sport mouthguards protect against more than just chipped or broken teeth. They can help prevent more serious injuries such as a fractured jaw, concussion, cerebral hemorrhages and even neck injuries.
Amalgam
The Food and Drug Andministration (FDA) warns of dental amalgam risk for pregnant women and children. Dental amalgams contain mercury, which may have neurotoxic effects on the nervous systems.
Geographic Tongue
It is fairly common (2% of the population) and is harmless. It is benign and its pattern may change. It may look like a map of islands. There is no treatment.
Important
Tooth decay is the second most common health problem after the common cold. Children and the elderly are the two groups at highest risk.
Toothpaste???
Some of the additives in the toothpaste that might cause abrasion of your teeth are baking soda, silica, and calcium carbonate. Peroxide is a safe additive for whitening, but does not usually come in significant concentration.
Canker Sores
They are similar to cold sores and last 1-2 weeks. They may be triggered by trauma or stress and have a tendency to be in areas of the mouth that have loose or mobile tissue. It's estimated that about 10% of the population suffer from canker sores.
Orthodontic Treatment
It is estimated that about 1 in 5 orthodontic patients is an adult. Many people 50 years and older are currently receiving treatment. There are no age limits.
Dental Factoid
A study done by Emory University in conjunction with the Centers for Disease Control shows that people who have gum disease may have a mortality rate 23% higher than those who do not.
Medical History
Some drugs (both legal and illegal - such as cocaine) can make the heart sensitive to other medications. If the dentist is unaware of your history and gives you anesthetic to numb you, this could lead to a heart attack.
Baby Teeth
They calcified by 6 month of pregnancy. By age 2 to 2-1/2 usually all the baby teeth are in. A typical child lose their last baby tooth anywhere from 11-12 years old. The child is going to need to chew on these teeth for 9 years or so.
Cleaning!
The pocket is the space that exists between the tooth and gum. If a pocket is between 1-3mm deep, then this is normal. Pockets that are 6mm or deeper the regular cleaning instruments can not reach and clean.
Pacifiers
When choosing a pacifier, it is best to choose one that most closely resembles the mother's natural anatomical shape. An improperly shaped pacifier is more likely to cause problems with the development of the jaws and teeth.
Floss
"Just floss the teeth that you want to keep!" Floss removes the plaque between the teeth which cannot be reached with a toothbrush or waterpik.
Gum Disease
It affects about 9 out of 10 adults at some point in their life. In fact, it is listed as the most common disease in the world. When there is bleeding with brushing, it likely means there is some inflammation of the gums.
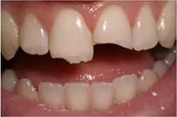
Bondings

Bonding is one of the simplest and most economical cosmetic dental procedures. A composite resin can be shaped, colored, and polished to fix chipped and boken teeth, close gaps between teeth, or to lengthen teeth for aesthetic purposes.


=>
BeforeAfter

Crowns and Bridges

Fixed porcelain crowns seem to be the most modern, fixed dental restoration work in aesthetic dentistry. They strengthen broken and weakened teeth, and give the same contour and color as natural teeth.


=>
BeforeAfter

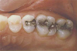
Inlays and Onlays

Fillings are an indirect restoration process which can rebuild worn down teeth, or fill holes from cavities or previous fillings.


=>
BeforeAfter

Occlusal Adjustments

An occlusal adjustment is a process in which the surfaces of the teeth are redesigned to improve the contact between them when you are biting down. Such adjustments can improve comfortability in a person's bite by changing the amount of force in certain places or fixing an offset feeling while your jaw is resting. If you wake up with a sore jaw in the morning, it might be time to look into an occlusal adjustment.


=>
BeforeAfter

Porcelain Veneers

Veneers can instantly transform your smile using thin, individually crafted "shells" to enhance the color and shape of your teeth. These cosmetic enhancements are made using medical-grade porcelain to give you the smile you want!


=>
BeforeAfter

Root Canals

Endodontic therapy, or a root canal, is a treatment used to repair and save a badly decayed or infected tooth. In order the repair the damage, a hole is drilled into the tooth center, the tooth nerve is cleaned out, and the tooth is then medicated and sealed.


=>
BeforeAfter

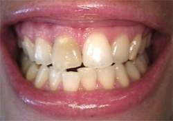
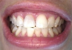
Whitening

A simple tooth whitening can make your smile shine! A protective agent is applied to protect the gums and then bleach is applied to the tooth surface until you have achieved the desired color result.


=>
BeforeAfter